
"A Mix of Dental Implants and Veneers Gave Me My Beautiful Smile Back"
I had some root canals on my back teeth years and years ago, they finally broke off and didn't work so I had to have the roots and everything pulled. I had no back teeth whatsoever. It was very hard to eat anything and what teeth I had in the back made it kind of painful to eat. I did most of my chewing right in the front, so it was difficult to eat. I couldn't eat very much at all, so I found Dr. Tabor. He was recommended by another client of his and I came to see Dr. Tabor.
When Stephanie came to our office, she was at a position in her dental life where she was really confused. She didn't know what to do. She really thought that she needed to take all her teeth out maybe going to dentures or something like that. Through a series of appointments and a series of conversations, we walked her through the process of what her options were.


I asked Dr. Tabor if implants and veneers would be best or would it be better to pull the teeth that I had left and get fixed dentures? Dr. Tabor said, No, that my remaining teeth were in perfect shape and that veneers would be the way to go. We should not pull any more teeth.
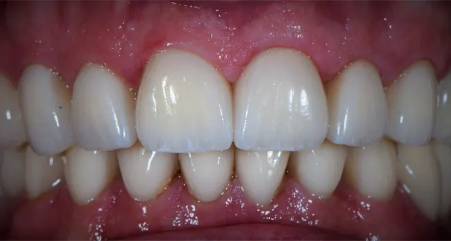
Her bone structure around the teeth was really healthy. It was just the teeth that were worn down. We were able to use a combination approach where we replace the missing teeth with implants and then we also restored her teeth with porcelain, some veneers, and some crowns. It really put her teeth back to the place they needed to be. This allowed us to realign her bite and then give her teeth the shape, the contour, and the look that she's always wanted
The teeth that they, Tabor Dental Associates near Nashville, TN, make goes beyond anything I ever thought anybody could do. I always thought yeah, I'm going to get this done because I have to because I can't eat and they're just going to look fake. When I saw these teeth, I couldn't stop smiling. They have given me the most beautiful smile and it's a matter of fact since I have gotten these teeth, I have gotten engaged. My fiance said the first thing he noticed about me was my smile and he's always telling me I have such beautiful teeth and I can only thank Dr. Tabor and his team for that.The teeth that they [Tabor Dental Associates near Nashville, TV] make goes beyond anything I ever thought anybody could do. I always thought yeah, I'm going to get this done because I have to because I can't eat and they're just going to look fake. When I saw these teeth, I couldn't stop smiling. They have given me the most beautiful smile and it's a matter of fact since I have gotten these teeth, I have gotten engaged. My fiance said the first thing he noticed about me was my smile and he's always telling me I have such beautiful teeth and I can only thank Dr. Tabor and his team for that.