
Dental Implant Surgery in Hendersonville, TN
Long-Lasting, Life-Changing
If you have one or more missing teeth, you may be struggling to bite and chew. But gaps in your diet may be overshadowed by the gaps in your smile that leave you feeling embarrassed to laugh or socialize. If you’re missing most or all your teeth, you may notice that your facial shape is changing as your jawbone continues to shrink. Even if you’re only missing one tooth, dental implants are the only truly long-term—and most natural-looking—solution for replacing your missing teeth. Considered the “gold standard” in tooth replacement, dental implants restore your oral health, smile aesthetics, and dental function and do so for decades!
Our team at Tabor Dental Associates is experienced in providing dental implants, using technology and materials that ensure the long-term success of your dental implants in Hendersonville, TN. Our implant dentist will help you experience a life of health, function, and confidence with dental implants and permanent new teeth!


Your Custom Dental Implant Options
Dental implants are made up of three components—post, abutment, and restoration—that mimic the function of natural teeth. Secured in your jawbone, dental implants can support single crowns, a dental bridge, and full arch solutions, including implant supported dentures and full mouth dental implants. Dental implants are one of the most versatile tooth replacements available, able to replace any number of missing teeth. Dental implants can also be used to increase the stability of a modified denture, which snaps securely to the implants placed in the jawbone.
For patients with many or all missing teeth, dental implants can permanently support a full, fixed bridge of artificial teeth. This solution makes it possible to eat any type of food with life-like, strong teeth. In all cases, dental implants improve your ability to eat comfortably, feel confident in a complete smile, and live an overall healthier and better quality of life.




Care from a Trained Implant Dentist
Our experienced implant dentist, Dr. Jayson Tabor, has placed and restored thousands of dental implants at his Hendersonville, TN dental practice. To ensure your treatment results in optimal functional and aesthetic benefits, he has completed rigorous advanced training through some of the most renowned implant and restorative courses at the Dawson Academy, Kois Center, Misch Implant Institute, and Spear Education. Additionally, he leverages sophisticated surgical technologies and restorative materials to provide solutions that are patient-fitted and long-lasting. A true blending of the art and science of implant dentistry, Dr. Tabor consistently showcases his skill and passion in this complex treatment with the ever-increasing number of satisfied patients.
Dental Implant Treatment Process

Your dental implant treatment at Tabor Dental Associates is personalized to your specific oral health needs and smile goals. You’ll first complete a consultation with Dr. Tabor, where we’ll discuss your dental and medical history, take digital x-rays, and create a custom treatment plan. If you need tooth extractions or bone grafting, we’ll be able to determine if these need to be completed before your implant surgery or if they can be performed in the same surgical visit. Next, we’ll digitally design your custom surgical guide and either use a guide manufactured through nSequence or fabricated in-house with our 3D printer.
During surgery, aided by your custom surgical guide, we’ll place each dental implant post in strategic locations in your jawbone avoiding nerves and optimizing longevity and aesthetics. In many cases, we’re able to attach a temporary tooth or set of teeth at this same appointment! As your mouth heals over the next three or more months, you’ll be able to eat comfortably and enjoy restored smile aesthetics until you receive your permanent, custom-made dental implant restoration. We often recommend patients choose a zirconia fixed bridge for their final restoration. Custom-fabricated from a solid block of zirconia, this restoration provides the highest level of strength, durability, and aesthetics.
Why Choose Dental Implants?
Dental implants provide numerous advantages over other tooth replacement options. Unlike dentures, dental implants are permanently secured in your jawbone and act like artificial tooth roots (implant posts). They are permanently fixed and stable enough to restore over 99% of natural biting and chewing power. Unlike dental bridges, dental implants do not require healthy teeth to be present to support the restoration. Dental implants only need proper jawbone density to remain secure and strong, where they will in turn provide stimulation to keep the bone healthy. For this reason, implants are one of the preferred solutions and virtually all patients who come to Tabor Dental Associates are candidates for dental implants.
The Lasting Benefits of Dental Implants


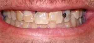
Dental Implants Before & After


Dental Implants Before & After


Dental Implants Before & After

Making Dental Implants Affordable
Along with lasting, life-changing advantages, dental implants also come with a higher initial cost than traditional alternatives. But as the closest thing to natural teeth, the higher cost of dental implants is immediately matched by the dramatic improvements to your self-esteem, oral health, and systemic health. This boost in the quality of your life cannot be understated. We recognize these transformative effects which is why we do everything we can to make your dental implant treatment in our Hendersonville, TN implant practice affordable and convenient. We’ll file your insurance claim on your behalf and connect you with leading financing companies that can break your payment down into manageable monthly payments. Additionally, we provide a 5-year warranty on all our dental implants for added peace of mind. We’ll make receiving dental implants from an experienced implant dentist in Hendersonville, TN affordable! Don’t wait to find out how.
"*" indicates required fields
