
Clear Braces in Hendersonville, TN
Invisible Braces with Clear Results
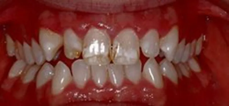
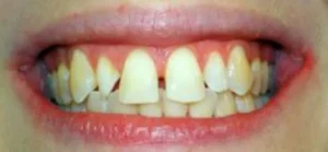
You’re ready to straighten your crooked teeth, but you can’t imagine having to wear unsightly metal braces. Does that ring any bells? Thankfully, you don’t have to with our orthodontic solution at Tabor Dental Associates. We offer a clear braces option in Hendersonville, TN—Invisalign® clear aligners. This solution will provide the discreet orthodontic treatment you want with the stunning results designed to boost your self-confidence and smile aesthetics! Using precision digital technology, our Silver Invisalign Provider and cosmetic dentist, Dr. Jayson Tabor can ensure your orthodontic treatment is personalized from the start for a more efficient and predictable result!
Advantages of Discreet Braces
Our Orthodontics Solution
We are trained and experienced in invisible aligner orthodontics. Treatment with Invisalign takes less time than with conventional braces.

Invisalign
Invisalign is the original clear aligner system that uses a series of invisible trays to straighten crooked teeth. Unlike braces, Invisalign aligners can be removed for eating, drinking, and oral hygiene care. They allow wearers to maintain their normal dietary habits and brushing and flossing routines. Digitally designed from high-resolution scans of our iTero® intraoral scanner, these trays are customized to each patient for a perfect fit and optimal comfort during treatment. When worn between 20-22 hours a day, Invisalign orthodontics can be completed months faster than conventional braces.






Straight Smiles Made Affordable

Dr. Tabor and our team are trained in both restorative and cosmetic dentistry treatments as well as dental implants. With great technical skill combined with an artistic touch, we customize every smile makeover treatment to ensure the most dramatic results for you. Having received advanced continuing education courses from such institutions as the Center for Aesthetic Dentistry, Misch Implant Institute, and the Dawson Academy, Dr. Tabor is well-versed in the latest techniques and materials in addition to remaining at the forefront of any new technologies that improve implant, cosmetic, or restorative dentistry treatments. Whether your smile just needs a tune up or you’re looking for a complete makeover, come talk to us. We can reveal an attractive and confident smile that lasts for years to come!
"*" indicates required fields
